| 研究成果のポイント |
|---|
|
概要
アジュバントはワクチンの効果を高める免疫刺激剤ですが、その有効性や安全性を評価する方法は限られており、大規模なスクリーニングが困難です。そこで私たちは、25種類のアジュバントについて、異なる種、臓器、時間、用量の網羅的なトランスクリプトームデータ(*1)を収録した「アジュバントデータベース(ADB)」を構築しました。これは、広く使われている毒性データベース「Open TG-GATEs(OTG)」と同じプロトコルで作成され、両データの統合解析が可能です。各アジュバントは固有の遺伝子発現プロファイルを有していました。両データベースを使い、機械学習(*2)によってアジュバント活性や肝毒性を予測するモデルを構築した結果、OTGに含まれるコルヒチンのアジュバント活性と、ADBに含まれる細菌由来の合成免疫賦活剤FK565の肝毒性がデータ解析から明らかになりました。この研究は、トランスクリプトーム情報を活用したアジュバントスクリーニングの新しい枠組みを示しています。
本研究の内容
2025年7月17日 – 国立研究開発法人医薬基盤・健康・栄養研究所(大阪府茨木市 、理事長・中村祐輔)と国立大学法人東京大学医科学研究所ワクチン科学分野などは、ワクチンアジュバントおよび免疫療法薬の開発においてその有効性、安全の前臨床評価に大きく貢献しうる「アジュバントデータベース(ADB)」を構築し、その成果を論文発表しました。本研究は国際的な科学誌『Cell Chemical Biology』8月号に掲載されました。
アジュバントとは、ワクチン抗原特異的な免疫反応に必須なワクチンの重要な成分ですが、単独でも感染症やがん、アレルギーなどに対する免疫応答を高める薬剤としても開発研究が進んでおり注目されています。しかし、製剤の成分や作用機序も多様で複雑であることが知られ、その有効性や安全性評価の標準化された方法がないことから、他の薬剤に比べ上市までの時間がかかり、創薬研究が困難であることが指摘されていました。
今回、医薬基盤・健康・栄養研究所 医薬基盤研究所の夏目やよいAI健康・医薬研究センター長、國澤純副所長(ヘルスケア・メディカル微生物研究センター長併任)および同研究所前ワクチン・アジュバント研究センター長、現東京大学医科学研究所 ワクチン科学分野の石井健教授および小檜山康司准教授(研究当時、現カルフォルニア州立大サンディエゴ校Vc-Health Sciences-Schools、医学部Associate Project Scientist)率いる学際的な研究チームは、25種類の主要アジュバントについて、複数の動物種、臓器、用量、時間点における包括的な遺伝子発現プロファイルを標準化された手法で収集し、既に広く利活用されているトキシコゲノミクスデータベースOTG(Open TG-GATEs)と統合したADBを構築しました(図1)。
図1:アジュバントデータベース(ADB)の構築と解析
これらのデータは、ユーザーフレンドリーなウェブアプリケーションにより簡便に閲覧、解析を行うことが可能です。これにより、各アジュバント固有の遺伝子発現パターンを明確に示すことが可能になり、作用機序が似ているアジュバントでは遺伝子発現プロファイルも似ているといった傾向からアジュバントの特徴が遺伝子発現パターンに反映されていることを示しました(図2)。
図2:マウス肝臓におけるアジュバント遺伝子発現プロファイル
このことからADBの遺伝子発現プロファイルからアジュバントによって惹起される生体応答を推論することが可能になると考えられ、実際に血球数と相関する遺伝子群が見出されました。ADBで収集したアジュバントの遺伝子発現プロファイルにはその作用機序や生体応答に関する情報が含まれていること、OTGと統一したプロトコルでデータ収集を行っていることから、これらの特性を活かした利活用が可能です。その具体例として、機械学習によるアジュバントの候補薬や既存の登録薬剤のアジュバントとしての有効性、毒性に関する双方向性の予測モデルが開発されました。
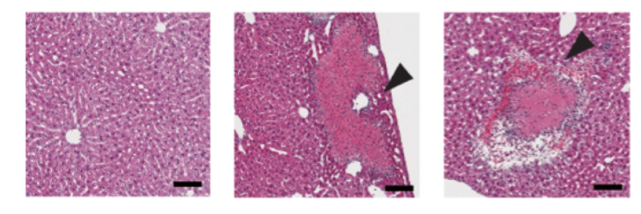
この予測モデルから2つの全く新たな知見が得られました。一つ目は、ADBのアジュバント候補薬の中から、OTGのデータを用いた機械学習による肝毒性を予測した結果、FK565という細菌由来の合成免疫賦活剤として知られる薬剤が肝臓毒性を示しうると予測し、実際のマウス、ラットの実験で肝臓に壊死を誘導する強い毒性がみられることを証明しました(図3)。
図3:FK565投与後のマウス肝臓における壊死
(左から投与後1日目、2日目、3日目。バー:100μm)
2つ目は、逆にOTGに登録された薬剤の中から、アジュバントになりうる薬剤として、古くから痛風発作の予防や地中海熱などの自己炎症性疾患の治療薬として臨床使用されているコルヒチンが機械学習によって予測されました。そして、実際のマウスによる実験で、コルヒチンがタンパクワクチンに対する有効なアジュバントとして機能することが実証されました(図4)。
図4:コルヒチン投与による抗体産生増強
ADBの構築は、より安全で効果的なワクチンの開発を加速する強力なデータ駆動型のスクリーニングシステムとして、また毒性といった非臨床試験の重要な評価に関しても実際の実験と並行して利活用できるため、アカデミアのみならずワクチン、免疫療法の創薬や規制にかかわる世界中の研究者に広く活用されることが期待されます。
この予測モデルから2つの全く新たな知見が得られました。一つ目は、ADBのアジュバント候補薬の中から、OTGのデータを用いた機械学習による肝毒性を予測した結果、FK565という細菌由来の合成免疫賦活剤として知られる薬剤が肝臓毒性を示しうると予測し、実際のマウス、ラットの実験で肝臓に壊死を誘導する強い毒性がみられることを証明しました(図3)。
(左から投与後1日目、2日目、3日目。バー:100μm)
論文情報
雑誌名: Cell Chemical Biologyタイトル: An Adjuvant database for preclinical evaluation of vaccines and immunotherapeutics
著者名: Yayoi Natsume-Kitatani, Kouji Kobiyama, Yoshinobu Igarashi, Taiki Aoshi, Noriyuki Nakatsu, Lokesh P. Tripathi, Junichi Ito, Johan Nyström-Persson, Yuji Kosugi, Rodolfo S. Allendes Osorio, Chioko Nagao, Burcu Temizoz, Etsushi Kuroda, Daron M. Standley, Hiroshi Kiyono, Kenji Nakanishi, Satoshi Uematsu, Isao Hamaguchi, Yasuhiro Yasutomi, Jun Kunisawa, Sho Yamasaki, Cevayir Coban, Hiroshi Yamada, Kenji Mizuguchi, and Ken J. Ishii* (*責任著者)
DOI: 10.1016/j.chembiol.2025.07.005
URL: https://www.cell.com/cell-chemical-biology/fulltext/S2451-9456(25)00228-4
研究助成
本研究は、日本医療研究開発機構(AMED)の研究費AMED戦略推進部 医薬品研究課 創薬基盤推進研究事業、H24~H28、「アジュバント安全性評価データベースの構築研究」(課題番号:JP17ak0101068、JP18ak0101068、JP17fm0208021)の支援、および科学技術振興機構(JST)戦略的創造研究推進事業(CREST)、H30~R5、「細胞外核酸の免疫学的評価法確立と生理学的意義の解明」(課題番号JPMJCR18H1)の支援により実施されました。
用語解説
*1:トランスクリプトームデータ細胞や組織においてどの遺伝子がどの程度発現しているか、つまりDNAのどの領域がどの程度転写されてメッセンジャーRNAが作られているかを網羅的に測定したデータ。
*2:機械学習
データからパターンやルールを学習して予測などを行うAI(人工知能)関連技術の一分野。
本件に関する問い合わせ先
<研究に関すること>国立研究開発法人医薬基盤・健康・栄養研究所 (NIBN)
AI健康・医薬研究センター長 夏目やよい
https://www.nibn.go.jp/activities/bioinformatics.html
医薬基盤研究所副所長、ヘルス・メディカル微生物研究センター長(併) 國澤純
https://www.nibn.go.jp/vaccine_material_project/member/index.html
国立大学法人東京大学医科学研究所 感染・免疫部門 ワクチン科学分野
教授 石井健
https://www.ims.u-tokyo.ac.jp/imsut/jp/lab/microbiologyimmunology/section04.html
<報道に関すること>
国立研究開発法人医薬基盤・健康・栄養研究所 戦略研究支援部 広報担当
https://www.nibn.go.jp/index.html
国立大学法人東京大学医科学研究所 プロジェクトコーディネーター室(広報)
https://www.ims.u-tokyo.ac.jp/
